About Otopia Malang
Kami Ada, Karena kami percaya disetiap Mobil Ada Cerita yang harus dijaga
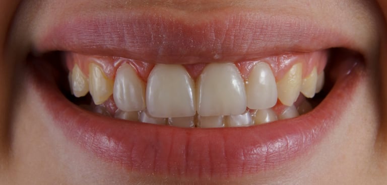
Care beyond every treatment
We see every smile as a story – and every patient as a person, not a procedure. Our approach is built on trust, comfort, and transparent communication.
From the first consultation to follow-up visits, our goal is to make your experience as comfortable as possible.


Meet The Team Behind Every Smile






Dr. Laura Smith – Cosmetic Dentist
“Every smile has a story — my goal is to make it a beautiful one.”
Dr. James Pat – Implant Specialist
"Precision and care beautifully always go hand in hand."
Dr. Emma Lopez – Pediatric Dentist
“A gentle approach helps children grow fearless and confident.”
Modern dentistry, timeless care
With over 10 years of combined experience, our team provides a full range of dental treatments – from preventive check-ups to advanced implantology. We combine digital precision with pain-free comfort.


– 5,000+ happy patients
– Certified professionals
– Digital X-rays & 3D scans



Ready for your next visit?
Book your appointment online – it’s quick, easy, and takes less than a minute.
Gentle care. Confident smiles.
Navigation:
Get in touch:
123 Bright Avenue, Los Angeles, CA
© 2025 Aura Dental Clinic. All rights reserved.
Mon – Fri: 8:00 AM – 7:00 PM
